Mute
Wawandamar_
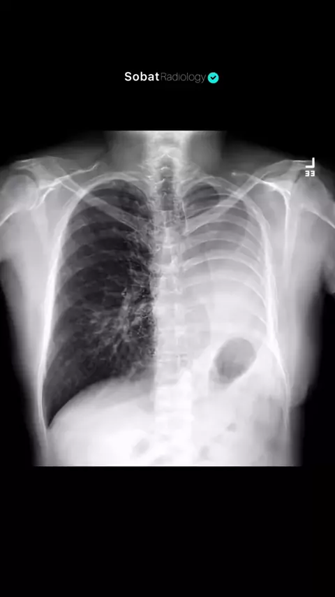
Pernahkah Anda mendengar istilah "paru-paru sebelah"? Ternyata, manusia memang bisa tetap hidup hanya dengan satu paru-paru. 🤯 Secara medis, kondisi ini sering kali disebabkan oleh prosedur Pneumonectomy, yaitu operasi pengangkatan salah satu seluruh bagian paru, seperti yang tampak pada hasil rontgen ini di mana sisi kiri telah diangkat. Pada gambaran radiologi pasca-operasi, ruang kosong tersebut (postpneumonectomy space) secara alami akan terisi oleh cairan, disertai tanda-tanda klinis sepe...
Follow
0
0
0
kwaikwaikwaikwaikwaikwaikwaikwaikwaikwai kwaikwaikwaikwaikwaikwaikwaikwaikwaikwaikwaikwaikwaikwaikwaikwaikwaikwaikwaikwai kwaikwaikwaikwaikwaikwaikwaikwaikwaikwaikwaikwaikwaikwaikwaikwaikwaikwaikwaikwai kwaikwaikwaikwaikwaikwaikwaikwaikwaikwaikwaikwaikwaikwaikwaikwaikwaikwaikwaikwai kwaikwaikwaikwaikwaikwaikwaikwaikwaikwaikwaikwaikwaikwaikwaikwaikwaikwaikwaikwai kwaikwaikwaikwaikwaikwaikwaikwaikwaikwaikwaikwaikwaikwaikwaikwaikwaikwaikwaikwai kwaikwaikwaikwaikwaikwaikwaikwaikwaikwaikwaikwaikwaikwaikwaikwaikwaikwaikwaikwai kwaikwaikwaikwaikwaikwaikwaikwaikwaikwaikwaikwaikwaikwaikwaikwaikwaikwaikwaikwai kwaikwaikwaikwaikwaikwaikwaikwaikwaikwaikwaikwaikwaikwaikwaikwaikwaikwaikwaikwai kwaikwaikwaikwaikwaikwaikwaikwaikwaikwaikwaikwaikwaikwaikwaikwaikwaikwaikwaikwai kwaikwaikwaikwaikwaikwaikwaikwaikwaikwaikwaikwaikwaikwaikwaikwaikwaikwaikwaikwai kwaikwaikwaikwaikwaikwaikwaikwaikwaikwaikwaikwaikwaikwaikwaikwaikwaikwaikwaikwai kwaikwaikwaikwaikwaikwaikwaikwaikwaikwaikwaikwaikwaikwaikwaikwaikwaikwaikwaikwai kwaikwaikwaikwaikwaikwaikwaikwaikwaikwaikwaikwaikwaikwaikwaikwaikwaikwaikwaikwai kwaikwaikwaikwaikwaikwaikwaikwaikwaikwaikwaikwaikwaikwaikwaikwaikwaikwaikwaikwai kwaikwaikwaikwaikwaikwaikwaikwaikwaikwaikwaikwaikwaikwaikwaikwaikwaikwaikwaikwai kwaikwaikwaikwaikwaikwaikwaikwaikwaikwaikwaikwaikwaikwaikwaikwaikwaikwaikwaikwai kwaikwaikwaikwaikwaikwaikwaikwaikwaikwaikwaikwaikwaikwaikwaikwaikwaikwaikwaikwai kwaikwaikwaikwaikwaikwaikwaikwaikwaikwaikwaikwaikwaikwaikwaikwaikwaikwaikwaikwai kwaikwaikwaikwaikwaikwaikwaikwaikwaikwaikwaikwaikwaikwaikwaikwaikwaikwaikwaikwai kwaikwaikwaikwaikwaikwaikwaikwaikwaikwaikwaikwaikwaikwaikwaikwaikwaikwaikwaikwai kwaikwaikwaikwaikwaikwaikwaikwaikwaikwaikwaikwaikwaikwaikwaikwaikwaikwaikwaikwai kwaikwaikwaikwaikwaikwaikwaikwaikwaikwaikwaikwaikwaikwaikwaikwaikwaikwaikwaikwai kwaikwaikwaikwaikwaikwaikwaikwaikwaikwaikwaikwaikwaikwaikwaikwaikwaikwaikwaikwai kwaikwaikwaikwaikwaikwaikwaikwaikwaikwaikwaikwaikwaikwaikwaikwaikwaikwaikwaikwai kwaikwaikwaikwaikwaikwaikwaikwaikwaikwaikwaikwaikwaikwaikwaikwaikwaikwaikwaikwai kwaikwaikwaikwaikwaikwaikwaikwaikwaikwaikwaikwaikwaikwaikwaikwaikwaikwaikwaikwai kwaikwaikwaikwaikwaikwaikwaikwaikwaikwaikwaikwaikwaikwaikwaikwaikwaikwaikwaikwai kwaikwaikwaikwaikwaikwaikwaikwaikwaikwaikwaikwaikwaikwaikwaikwaikwaikwaikwaikwai kwaikwaikwaikwaikwaikwaikwaikwaikwaikwaikwaikwaikwaikwaikwaikwaikwaikwaikwaikwai kwaikwaikwaikwaikwaikwaikwaikwaikwaikwai