9.9K
Followers
41
Following
53.6K
Likes
ID:MedsosViral
Follow
All playlists · Total 37
3
Replying to @audrissa_8 coba cek ke dokter kak.. kalo odhiv biasanya blm bergejala yg aneh.. tapi kalo udah masuk ke fase aids.. itu yg bahaya
2
PERINGATAN BUAT PARA PENYULUH HIV aids YANG DIAM-DIAM MENJUAL POPPERS INI.. biasanya cod an di hotel dan tempat lain. basmi saja pak.. merusak generasi bangsa
2
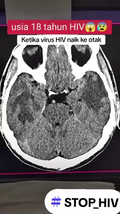
waspadalah ketika virus hiv sudah menyerang otak ya...
2
Hati-hati 5 zodiak ini adalah yang paling berbahaya menurut data FBI
12
Replying to @mirlton.lanaplatform gw untuķ mengedukasi orang yg masih sehat dan menghimbau bagi penderita untuk ga sebar virus hiv sana sini
2
Hati Hati dan waspadalah , jaga kesehatan kalian sebelum menyesal karena ketularan HIV
2
Replying to @pandi.pande ya klo ga mematikan seharusnya arv bagi penderita hiv jgn disubsidi.. suruh beli aja sendiri. jgn ngabis2in apbn. jadi buat yg mau-mau aja untuk bertahan hidup.. sekaligus biar mikir 2x kalo mau seks bebas dan narkoboy suntik
2
buat para kambing².. aquarius ini boss.. senggol dong
2
para wanita harus cek status hiv calon suami sebelum menikah ya.. agar kalian dan calon bayi tidak tertular hiv aids
3
ingin hidupmu berakhir seperti ini ?? silahkan remehkan hiv 😵‍💫😵‍💫😵‍💫😵‍💫😵‍💫🥸🥸🥵🥵🥵🥵
2
banyak hal yang belum kamu ketahui tentang zodiak aquarius
2
kenalin zodiak pembawa karma : Aquarius
2
HIV itu seumur hidup.. jadi hati² !! jauhi sumber penularan HIV
2
Jangan coba² lempar 💩 dpn aquarius & lu coba ghibahin dia di depan umum?? maka aqua akan bawain keranda buat nguburin tubuhmu yang penyakitan itu.. #aquarius #zodiac #hater
2
Setelah kau kena H I V maka kau akan sibuk menjelaskan penularan HIV 🥱🥱 dulu sebelum terjangkit kamu anggap remeh HIV kan? 🤨🙄🙄 (seperti kata pepatah : "yg menang merayakan... yg kalah sibuk menjelaskan" )
2
ABAIKAN penderita hiv yang ngasih ceramah tentang penularan hiv.. mending suruh dia bertobat untuk tidak menyebarkan itu lagi ke orang lain secara sembarangan
2
munafik, apalagi manipulator yang numpang idup serta jadi beban orang dengan topeng sok baik & perhatian 🤔 (aquarius ga akan tertipu) #aquarius #manipulatif
2
#gooddoctors
2
#masya
3
#xfactorindonesia #
Pinned
like
0
Pinned
like
0
Pinned
like
1
like
0
like
0
like
0
like
0
like
0
like
0
like
0
like
0
like
0
like
0
like
1
like
0
like
0
like
0
like
0
like
0
like
0
like
1
like
0
like
0
Loading
kwaikwaikwaikwaikwaikwaikwaikwaikwaikwai kwaikwaikwaikwaikwaikwaikwaikwaikwaikwaikwaikwaikwaikwaikwaikwaikwaikwaikwaikwai kwaikwaikwaikwaikwaikwaikwaikwaikwaikwaikwaikwaikwaikwaikwaikwaikwaikwaikwaikwai kwaikwaikwaikwaikwaikwaikwaikwaikwaikwaikwaikwaikwaikwaikwaikwaikwaikwaikwaikwai kwaikwaikwaikwaikwaikwaikwaikwaikwaikwaikwaikwaikwaikwaikwaikwaikwaikwaikwaikwai kwaikwaikwaikwaikwaikwaikwaikwaikwaikwaikwaikwaikwaikwaikwaikwaikwaikwaikwaikwai kwaikwaikwaikwaikwaikwaikwaikwaikwaikwaikwaikwaikwaikwaikwaikwaikwaikwaikwaikwai kwaikwaikwaikwaikwaikwaikwaikwaikwaikwaikwaikwaikwaikwaikwaikwaikwaikwaikwaikwai kwaikwaikwaikwaikwaikwaikwaikwaikwaikwaikwaikwaikwaikwaikwaikwaikwaikwaikwaikwai kwaikwaikwaikwaikwaikwaikwaikwaikwaikwaikwaikwaikwaikwaikwaikwaikwaikwaikwaikwai kwaikwaikwaikwaikwaikwaikwaikwaikwaikwaikwaikwaikwaikwaikwaikwaikwaikwaikwaikwai kwaikwaikwaikwaikwaikwaikwaikwaikwaikwaikwaikwaikwaikwaikwaikwaikwaikwaikwaikwai kwaikwaikwaikwaikwaikwaikwaikwaikwaikwaikwaikwaikwaikwaikwaikwaikwaikwaikwaikwai kwaikwaikwaikwaikwaikwaikwaikwaikwaikwaikwaikwaikwaikwaikwaikwaikwaikwaikwaikwai kwaikwaikwaikwaikwaikwaikwaikwaikwaikwaikwaikwaikwaikwaikwaikwaikwaikwaikwaikwai kwaikwaikwaikwaikwaikwaikwaikwaikwaikwaikwaikwaikwaikwaikwaikwaikwaikwaikwaikwai kwaikwaikwaikwaikwaikwaikwaikwaikwaikwaikwaikwaikwaikwaikwaikwaikwaikwaikwaikwai kwaikwaikwaikwaikwaikwaikwaikwaikwaikwaikwaikwaikwaikwaikwaikwaikwaikwaikwaikwai kwaikwaikwaikwaikwaikwaikwaikwaikwaikwaikwaikwaikwaikwaikwaikwaikwaikwaikwaikwai kwaikwaikwaikwaikwaikwaikwaikwaikwaikwaikwaikwaikwaikwaikwaikwaikwaikwaikwaikwai kwaikwaikwaikwaikwaikwaikwaikwaikwaikwaikwaikwaikwaikwaikwaikwaikwaikwaikwaikwai kwaikwaikwaikwaikwaikwaikwaikwaikwaikwaikwaikwaikwaikwaikwaikwaikwaikwaikwaikwai kwaikwaikwaikwaikwaikwaikwaikwaikwaikwaikwaikwaikwaikwaikwaikwaikwaikwaikwaikwai kwaikwaikwaikwaikwaikwaikwaikwaikwaikwaikwaikwaikwaikwaikwaikwaikwaikwaikwaikwai kwaikwaikwaikwaikwaikwaikwaikwaikwaikwaikwaikwaikwaikwaikwaikwaikwaikwaikwaikwai kwaikwaikwaikwaikwaikwaikwaikwaikwaikwaikwaikwaikwaikwaikwaikwaikwaikwaikwaikwai kwaikwaikwaikwaikwaikwaikwaikwaikwaikwaikwaikwaikwaikwaikwaikwaikwaikwaikwaikwai kwaikwaikwaikwaikwaikwaikwaikwaikwaikwaikwaikwaikwaikwaikwaikwaikwaikwaikwaikwai kwaikwaikwaikwaikwaikwaikwaikwaikwaikwaikwaikwaikwaikwaikwaikwaikwaikwaikwaikwai kwaikwaikwaikwaikwaikwaikwaikwaikwaikwaikwaikwaikwaikwaikwaikwaikwaikwaikwaikwai kwaikwaikwaikwaikwaikwaikwaikwaikwaikwai